
chemicals and the diseases that result from
exceed the body’s ability to repair it. In such
exposure to them.
cases, the activity of NKG2D is unwanted
because it stimulates the immune system to
Although the causes of rare diseases can be
attack the affected tissue—and contributes
classified as genetic or environmental, many of
to chronic lung disease instead providing
Information about Rare Diseases and Scientific Inquiry
27

Figure 4. Long-term exposure to coal dust causes the illness known as black lung. Normal lung (left) and affected lung (right).
Source: www.cdc.gov/niosh, National Institute for Occupational Safety and Health (NIOSH), Division of Respiratory Disease Studies
protection from it. Borchers believes that by
Streptococcus bacteria strains. This is the same
blocking the activity of NKG2D, he can stop
kind of bacteria responsible for causing strep
this immune response and minimize damage
throat. Most strep strains are easily killed by
to the lungs (University of Cincinnati, 2006).
antibiotics. Some are not, though, and, under
the right set of conditions, can cause NF. These
Other causes of rare diseases include
conditions include the following:
• nutritional defi ciency: for example, beriberi
• An opening in the skin through which the
results from a lack of thiamine;
bacteria enter the body. The opening can be
• injury: for example, commotion cordis
large, as a result of trauma or surgery, or very
is associated with ventricular fi brillation
small, as from a pinprick or paper cut.
and sudden death, which result from a
• Contact with the bacteria, either from inside
nonpenetrating blow to the chest; and
the person or from another infected person.
• a treatment for another disease: for example,
• Infection by an invasive strain of the Group
radiation is often used as a cancer treatment,
A Streptococcus bacteria.
but it may also cause radiation-induced
meningioma (a rare central nervous system
After the bacteria enter the body, they reproduce
tumor).
quickly and release toxins and enzymes that
destroy soft tissue and fascia. The dead tissue
must be removed to save the patient’s life.
5.0 Rare Diseases Featured in This
The bacteria are able to elude the body’s
Curriculum Supplement
immune system and spread through different
5.1 Necrotizing Fasciitis
tissue layers. In addition to the tissue damage,
Necrotizing fasciitis (NF) is a bacterial
the infection can result in toxic shock, which
infection. The bacteria attack the soft tissue and
is characterized by a drop in blood pressure;
the fascia, a sheath of tissue that covers muscles.
a weak, rapid pulse; fever; dizziness and
Most commonly, the infection is from Group A
confusion; and difficulty breathing.
28
Rare Diseases and Scientific Inquiry

Fortunately, NF is rare, although accurate
Figure 5. An invasive strain of the Group A
statistics are hard to find. In 1996, the CDC
Streptococcus bacteria can enter the body
estimated that there were between 500 and
through a foot blister.
1,500 cases of NF in the United States and that
20 percent of these resulted in death (National
Necrotizing Fasciitis Foundation (NNFF), 2009).
Symptoms of NF: NF produces flu-like
symptoms, so people initially believe that they
simply have the flu. Misdiagnosis is common,
which can have devastating consequences
because the bacterial infection advances so
fast. The symptoms of NF progress as follows
(NNFF, 2009):
Early symptoms (usually within the first
Source: NTECH HEALTH AND WELLNESS
24 hours)
• An opening in the skin (from even a slight
Treatment of NF: NF requires treatment at
trauma) has appeared, allowing the bacteria
a hospital. The patient is given intravenous
to enter the body.
antibiotics, and the infected tissue is removed.
• The patient feels discomfort in the general
Depending on the severity of symptoms, other
area of the trauma.
treatments may be needed, such as blood
• The pain increases out of proportion to
transfusions and medications to raise blood
the injury.
pressure and boost the immune system.
• Flu-like symptoms appear such as vomiting,
diarrhea, dehydration, fatigue, weakness,
Surviving NF: Patients surviving NF may be
muscle pain, and fever.
left with minimal to severe scarring. Almost
• Intense thirst develops as the body
all patients need to have at least some skin
dehydrates.
removed. As a result, they may have to undergo
a series of skin grafts. In some cases, amputation
Advanced symptoms (usually within three to
of an affected limb is necessary.
four days)
• The painful area of the body begins to swell
5.2 Marfan Syndrome
and may show a purplish rash.
Marfan syndrome is a genetic disease of the
• The painful area may develop large, dark
connective tissue. It’s caused by mutations in the
blisters.
gene that codes for the connective tissue protein
• The wound may take on a bluish, white, or
fibrillin-1. As a result of the mutated fibrillin-1
dark, mottled, fl aky appearance.
gene, another protein called “transforming
growth factor beta” (TGFß) increases in
Critical symptoms (usually within four
concentration, causing certain connective tissue
to five days)
problems. The Marfan syndrome phenotype is
• Blood pressure drops severely.
inherited as an autosomal dominant trait. This
• Heartbeat increases.
means that a single copy of the mutated gene
• A rash may appear over the body, caused by
is enough to cause the disorder. It also means
toxins released by the bacteria.
that an affected person has a 50 percent chance
• Toxic shock causes the body’s organs to
of passing on the disorder to each child. The
shut down.
syndrome is mostly an inherited condition,
• Unconsciousness results as the body becomes
but in about 25 percent of cases, it’s caused
too weak to fi ght the infection.
by a spontaneous mutation in a sperm or egg
Information about Rare Diseases and Scientific Inquiry
29
cell of an unaffected parent (Dietz, 2009). The
management, it’s possible for people with
National Marfan Foundation estimates that
Marfan syndrome to live a normal life span.
about 200,000 people in the United States
are living with Marfan syndrome or a related
Diagnosis of Marfan Syndrome: The
connective tissue disorder (National Marfan
connective tissue problems associated with
Foundation, 2011).
Marfan syndrome can affect multiple body
systems. This can complicate diagnosis of the
Features of Marfan Syndrome: People with
disorder. Doctors may treat patients with the
Marfan syndrome have the genetic mutation
syndrome for several medical problems at once
in all their cells. This means that the disorder
without realizing that they stem from a single
affects the connective tissue in many different
cause. Although we know that Marfan syndrome
body systems. The medical features associated
is caused by mutations in the fibrillin-1 gene on
with Marfan syndrome appear at all ages,
chromosome 15, there’s no simple blood test
including in infants and small children. Some
that can diagnose the disorder. Instead, doctors
of the most common features of Marfan
have established a set of diagnostic criteria to
syndrome are listed below (Table 10). With
use. These criteria span various body systems
early diagnosis, proper treatment, and careful
and are classified as either major or minor.
Table 10. Features of Marfan Syndrome
Cardiovascular System
The aorta (main blood vessel that carries blood from the heart) may be enlarged and weakened.
The layers of the aorta may be separated, causing it to tear more easily.
The mitral valve that separates the upper and lower halves of the left side of the heart may be enlarged and may not work properly.
Skeletal System
Tall and thin body type
Scoliosis (curvature of the spine)
Chest sinks in or sticks out
Flexible joints
Flat feet
Teeth very crowded together
Ocular System
Severe myopia (nearsightedness)
Dislocated eye lens
Detached retina
Early glaucoma or cataracts
Other Body Systems
Stretch marks on skin, not from pregnancy or weight gain
Sudden lung collapse
Swelling of the sac that surrounds the spinal column
30
Rare Diseases and Scientific Inquiry

Figure 6. Marfan syndrome is associated with
program. Table 11 lists some of the available
fl exible joints.
disease-management options.
5.3 Childhood Leukemia
Leukemias are cancers of the blood or bone
marrow that usually result in the overproduction
of white blood cells and that are classified by
how long it takes for the disease to appear and
worsen (acute and chronic) and by the type of
blood cell affected (lymphocytic or myeloid):
• Acute leukemia is characterized by the rapid
appearance of immature blood cells, called
blasts, produced in the bone marrow. This
overcrowding of cells prevents the bone
marrow from making healthy blood cells. The
lack of healthy white blood cells (which help
fi ght infection) leaves the patient vulnerable
to repeated bouts of colds and fl u. The lack of
healthy red blood cells leads to anemia and
fatigue. Acute forms of leukemia may occur
in people of all ages, but they are often the
forms seen in children.
Source: National Marfan Foundation
• Chronic leukemia is characterized by a more
gradual accumulation of relatively mature
blood cells. It may take months or years to
To make a diagnosis of Marfan syndrome, the
progress. This form of leukemia can also
doctor compares the patient’s medical history,
be found in people of all ages but is more
results of a physical examination, and results
common among older people.
from laboratory tests with the set of diagnostic
• Lymphocytic leukemia is a cancer of the B
criteria. If no one in the patient’s family has
cells, a kind of lymphocyte (or white blood
Marfan syndrome, the doctor makes the
cell) that plays a role in the immune system.
diagnosis if the patient has major criteria in two
• Myeloid leukemia is a cancer of other cells,
different body systems and minor criteria in a
such as red blood cells, platelets, and other
third body system. If the patient has a parent or
types of white blood cells.
sibling with Marfan syndrome, the doctor makes
the diagnosis if the patient has major criteria in
This supplement is concerned with acute
one body system and minor criteria in a second
lymphoblastic leukemia (ALL), which is the
body system. A person may have many features
most common form of leukemia in children.
associated with Marfan syndrome in a single
The Leukemia and Lymphoma Society estimates
body system but still not be diagnosed with the
that in 2009, there were 5,760 new cases of ALL
disorder.
in children in the United States.
Treatment of Marfan Syndrome: Although
Symptoms of ALL: The most common
there’s no cure for Marfan syndrome, certain
symptoms appearing in children with ALL
treatments can minimize or, in some cases,
are fever; recurring infections; easy bruising
prevent complications. Depending on which
or bleeding; lumps in the neck, underarms,
body systems are affected, an appropriate team
stomach, or groin; pain or a feeling of fullness
of specialists create an individualized treatment
below the ribs; fatigue; and the loss of appetite.
Information about Rare Diseases and Scientific Inquiry
31
Table 11. Disease-Management Options
chromosomes may be seen in the leukemia cells
for Marfan Syndrome
but not in unaffected cells taken from other
parts of the body.
Cardiovascular System
• Echocardiograms to assess the size of the
Treatment of ALL: The treatment of ALL has
aorta
made continual progress since the 1960s, mostly
• Medications to relieve stress on the aorta
thanks to the results of clinical trials on children
• Corrective surgery
with the disease. During clinical trials, one
Skeletal System
group of children receives the so-called standard
• Annual examinations to look for changes in
treatment, which is the best care known at the
the spine and breastbone
time. Researchers compare the health of this
• Orthopedic braces
group of children with one or more additional
• Corrective surgery
groups of children who receive a modified form
Ocular System
of the standard care that is designed to test some
• Early, regular eye exams
new treatment, such as a different dose or a new
• Eyeglasses or contact lenses
drug. The success of a treatment is described in
• Corrective surgery
terms of its five-year survival rate, which refers
to the percentage of patients who live at least
Nervous System
five years after cancer was diagnosed. Today, the
• Medication for pain
five-year survival rate for children with ALL in
Pulmonary System
the United States is over 80 percent (American
• Avoidance of smoking
Cancer Society, 2009).
• Examination to detect breathing problems
during sleep
Current treatment for ALL consists of several
• Medical attention for collapsed lung
phases:
Physical Activity
• Induction Chemotherapy: This initial phase
• Avoidance of collision and contact sports
uses a combination of drugs such as
• Individualized exercise plan
prednisone and vincristine to kill most of
the cancer cells.
• Consolidation Therapy: In this phase, a
Diagnosis of ALL: In addition to a physical
different combination of drugs is used to
exam and patient history, blood tests are used
target any remaining cancer cells.
to diagnose ALL. The different types of blood
• Preventive Therapy: The aim of this phase
cells are counted to determine whether they
is to prevent the spread of the disease to
are present in abnormal ratios. A biopsy of
the central nervous system. It may involve
the bone marrow allows cells from the bone,
irradiation of the head and the injection of
blood, and bone marrow to be examined for an
drugs directly into the spine.
abnormal appearance. A cytogenetic analysis
• Maintenance Therapy: In this final phase
also may be carried out, because some forms
of treatment, lower doses of the drugs are
of ALL are associated with the appearance of
administered for up to three years in an
trisomies (having three instead of the normal
attempt to keep the disease from reappearing.
two copies of a chromosome) in the affected
cells. Trisomies can be detected in a kind
Some high-risk ALL patients may also receive a
of photograph of the chromosomes called a
bone marrow transplant.
karyotype. To make the karyotype easier to
analyze, the individual chromosomes are cut out
Causes of ALL: ALL has no single cause.
from the original photograph and rearranged
Ultimately, ALL is a genetic disease in the sense
in pairs. A trisomy involving one or more
that it results from genetic damage (mutation)
32
Rare Diseases and Scientific Inquiry

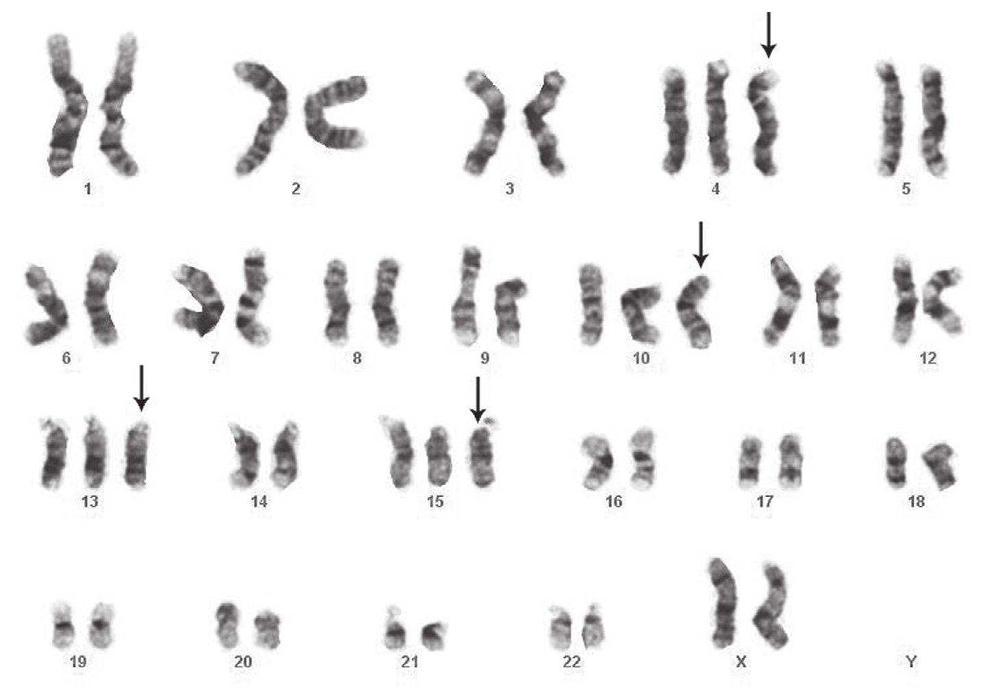
Figure 7. A karyotype from a leukemia patient may show abnormal numbers of chromosomes.
Source: Genetics Department, Affi liated Laboratories, Inc., Bangor, Maine to a single cell that then spreads to progeny
them appropriate for study by middle school
cells. The DNA damage may result from natural
students who have only basic knowledge of the
or medical radiation (that is, from the sun
relationship between genotype and phenotype.
or medical X-rays) or from environmental
In addition, single-gene disorders allow for the
exposure to toxic substances such the solvent
study of the fundamentals of inheritance.
benzene. ALL is sometimes linked to infection,
as from the human T-lymphotropic virus. Most
Middle school students are often introduced
cases of ALL are spontaneous, meaning that
to the concept of disease as the breakdown of
the mutations occurred spontaneously in that
structures or functions of an organism. Rare
individual patient and were not inherited. ALL
diseases offer opportunities to expand on that
can, however, sometimes run in families.
concept by exploring how diseases are linked,
not just to genetics, but also to the environment
6.0 Rare Diseases as a Topic for the
and infection by pathogens. Infectious diseases
Middle School Science Classroom
are an important example of an interrelationship
The topic of rare diseases provides an excellent
between organisms, since we can use them to
context for teaching core life science content
illustrate structural similarities and differences
in the middle school classroom (see Tables 3
between the cells of the host and the pathogen.
and 4). According to the National Science
Furthermore, students can examine the
Education Standards ( NSES), middle school
structure-function relationship of systems in
students should develop a basic understanding
the body by studying the differences between
of heredity and genetics (NRC, 1996). Since the
diseased and unaffected states.
majority of rare diseases have a genetic basis,
we can use them as real-life examples of the
Rare diseases offer an engaging context for
relationship between genes and health. Many
exploring body systems, which are often treated
rare diseases are linked to single genes, making
as a vocabulary-laden series of diagrams.
Information about Rare Diseases and Scientific Inquiry
33

Investigating how a rare disease affects a body
Figure 8. Some rare diseases have been
system can help students understand how that
extensively studied, while others have not.
system normally works. The wide variety of rare
diseases ensures that we can select examples
that focus primarily on individual body systems.
We can use other rare diseases to illustrate
functional interactions between body systems.
Furthermore, this curriculum supplement gives
students a chance to address any misconceptions
they may have about rare diseases. Most students
know very little about rare diseases. They
usually haven’t experienced one themselves or in
their immediate family. This lack of familiarity
can promote misconceptions about rare diseases
and the healthcare system’s responses to them.
Source: PhotoDisc
An informal survey of Web sites for support
groups for patients with rare diseases suggests
increased funds from the U.S. government
several misconceptions that the curriculum
have been available to study rare diseases.
supplement should address, including the
• Family Doctors Are Well Equipped to Diagnose
following:
Rare Diseases: Despite technologies such as
• All Rare Diseases Are Being Actively
the Internet that make information about
Researched:
Describe what you're looking for in as much detail as you'd like.
Our AI reads your request and finds the best matching books for you.
Popular searches:
Join 2.9 million readers and get unlimited free ebooks