
33. What force is exerted on the tooth in Figure 4.38 if the tension in the
wire is 25.0 N? Note that the force applied to the tooth is smaller than the
Figure 4.39 Superhero and Trusty Sidekick hang motionless on a rope as they try to
tension in the wire, but this is necessitated by practical considerations of
figure out what to do next. Will the tension be the same everywhere in the rope?
how force can be applied in the mouth. Explicitly show how you follow
steps in the Problem-Solving Strategy for Newton’s laws of motion.
35. A nurse pushes a cart by exerting a force on the handle at a
downward angle 35.0º below the horizontal. The loaded cart has a
mass of 28.0 kg, and the force of friction is 60.0 N. (a) Draw a free-body
diagram for the system of interest. (b) What force must the nurse exert to
move at a constant velocity?
36. Construct Your Own Problem Consider the tension in an elevator
cable during the time the elevator starts from rest and accelerates its load
upward to some cruising velocity. Taking the elevator and its load to be
the system of interest, draw a free-body diagram. Then calculate the
tension in the cable. Among the things to consider are the mass of the
elevator and its load, the final velocity, and the time taken to reach that
velocity.
37. Construct Your Own Problem Consider two people pushing a
toboggan with four children on it up a snow-covered slope. Construct a
problem in which you calculate the acceleration of the toboggan and its
load. Include a free-body diagram of the appropriate system of interest as
Figure 4.38 Braces are used to apply forces to teeth to realign them. Shown in this
the basis for your analysis. Show vector forces and their components and
figure are the tensions applied by the wire to the protruding tooth. The total force
explain the choice of coordinates. Among the things to be considered are
applied to the tooth by the wire, Fapp , points straight toward the back of the mouth.
the forces exerted by those pushing, the angle of the slope, and the
masses of the toboggan and children.
34. Figure 4.39 shows Superhero and Trusty Sidekick hanging
38. Unreasonable Results (a) Repeat Exercise 4.29, but assume an
motionless from a rope. Superhero’s mass is 90.0 kg, while Trusty
acceleration of 1.20 m/s2 is produced. (b) What is unreasonable about
Sidekick’s is 55.0 kg, and the mass of the rope is negligible. (a) Draw a
the result? (c) Which premise is unreasonable, and why is it
free-body diagram of the situation showing all forces acting on
unreasonable?
Superhero, Trusty Sidekick, and the rope. (b) Find the tension in the rope
above Superhero. (c) Find the tension in the rope between Superhero
39. Unreasonable Results (a) What is the initial acceleration of a rocket
and Trusty Sidekick. Indicate on your free-body diagram the system of
that has a mass of 1.50×106 kg at takeoff, the engines of which
interest used to solve each part.
produce a thrust of 2.00×106 N ? Do not neglect gravity. (b) What is
unreasonable about the result? (This result has been unintentionally
achieved by several real rockets.) (c) Which premise is unreasonable, or
which premises are inconsistent? (You may find it useful to compare this
problem to the rocket problem earlier in this section.)


CHAPTER 4 | DYNAMICS: FORCE AND NEWTON'S LAWS OF MOTION 159
4.7 Further Applications of Newton’s Laws of Motion
40. A flea jumps by exerting a force of 1.20×10−5 N straight down on
the ground. A breeze blowing on the flea parallel to the ground exerts a
force of 0.500×10−6 N on the flea. Find the direction and magnitude
of the acceleration of the flea if its mass is 6.00×10−7 kg . Do not
neglect the gravitational force.
41. Two muscles in the back of the leg pull upward on the Achilles
tendon, as shown in Figure 4.40. (These muscles are called the medial
and lateral heads of the gastrocnemius muscle.) Find the magnitude and
direction of the total force on the Achilles tendon. What type of movement
could be caused by this force?
Figure 4.41 The force T2 needed to hold steady the person being rescued from the
fire is less than her weight and less than the force T1 in the other rope, since the
more vertical rope supports a greater part of her weight (a vertical force).
43. Integrated Concepts A 35.0-kg dolphin decelerates from 12.0 to
7.50 m/s in 2.30 s to join another dolphin in play. What average force was
exerted to slow him if he was moving horizontally? (The gravitational
force is balanced by the buoyant force of the water.)
44. Integrated Concepts When starting a foot race, a 70.0-kg sprinter
exerts an average force of 650 N backward on the ground for 0.800 s. (a)
What is his final speed? (b) How far does he travel?
45. Integrated Concepts A large rocket has a mass of 2.00×106 kg at
takeoff, and its engines produce a thrust of 3.50×107 N . (a) Find its
initial acceleration if it takes off vertically. (b) How long does it take to
reach a velocity of 120 km/h straight up, assuming constant mass and
thrust? (c) In reality, the mass of a rocket decreases significantly as its
fuel is consumed. Describe qualitatively how this affects the acceleration
and time for this motion.
46. Integrated Concepts A basketball player jumps straight up for a ball.
To do this, he lowers his body 0.300 m and then accelerates through this
distance by forcefully straightening his legs. This player leaves the floor
Figure 4.40 Achilles tendon
with a vertical velocity sufficient to carry him 0.900 m above the floor. (a)
Calculate his velocity when he leaves the floor. (b) Calculate his
42. A 76.0-kg person is being pulled away from a burning building as
acceleration while he is straightening his legs. He goes from zero to the
shown in Figure 4.41. Calculate the tension in the two ropes if the person velocity found in part (a) in a distance of 0.300 m. (c) Calculate the force is momentarily motionless. Include a free-body diagram in your solution.
he exerts on the floor to do this, given that his mass is 110 kg.
47. Integrated Concepts A 2.50-kg fireworks shell is fired straight up
from a mortar and reaches a height of 110 m. (a) Neglecting air
resistance (a poor assumption, but we will make it for this example),
calculate the shell’s velocity when it leaves the mortar. (b) The mortar
itself is a tube 0.450 m long. Calculate the average acceleration of the
shell in the tube as it goes from zero to the velocity found in (a). (c) What
is the average force on the shell in the mortar? Express your answer in
newtons and as a ratio to the weight of the shell.
48. Integrated Concepts Repeat Exercise 4.47 for a shell fired at an
angle 10.0º from the vertical.
49. Integrated Concepts An elevator filled with passengers has a mass
of 1700 kg. (a) The elevator accelerates upward from rest at a rate of
1.20 m/s2 for 1.50 s. Calculate the tension in the cable supporting the
elevator. (b) The elevator continues upward at constant velocity for 8.50
s. What is the tension in the cable during this time? (c) The elevator
decelerates at a rate of 0.600 m/s2 for 3.00 s. What is the tension in
160 CHAPTER 4 | DYNAMICS: FORCE AND NEWTON'S LAWS OF MOTION
the cable during deceleration? (d) How high has the elevator moved
above its original starting point, and what is its final velocity?
50. Unreasonable Results (a) What is the final velocity of a car originally
traveling at 50.0 km/h that decelerates at a rate of 0.400 m/s2 for 50.0
s? (b) What is unreasonable about the result? (c) Which premise is
unreasonable, or which premises are inconsistent?
51. Unreasonable Results A 75.0-kg man stands on a bathroom scale
in an elevator that accelerates from rest to 30.0 m/s in 2.00 s. (a)
Calculate the scale reading in newtons and compare it with his weight.
(The scale exerts an upward force on him equal to its reading.) (b) What
is unreasonable about the result? (c) Which premise is unreasonable, or
which premises are inconsistent?
4.8 Extended Topic: The Four Basic Forces—An
52. (a) What is the strength of the weak nuclear force relative to the
strong nuclear force? (b) What is the strength of the weak nuclear force
relative to the electromagnetic force? Since the weak nuclear force acts
at only very short distances, such as inside nuclei, where the strong and
electromagnetic forces also act, it might seem surprising that we have
any knowledge of it at all. We have such knowledge because the weak
nuclear force is responsible for beta decay, a type of nuclear decay not
explained by other forces.
53. (a) What is the ratio of the strength of the gravitational force to that of
the strong nuclear force? (b) What is the ratio of the strength of the
gravitational force to that of the weak nuclear force? (c) What is the ratio
of the strength of the gravitational force to that of the electromagnetic
force? What do your answers imply about the influence of the
gravitational force on atomic nuclei?
54. What is the ratio of the strength of the strong nuclear force to that of
the electromagnetic force? Based on this ratio, you might expect that the
strong force dominates the nucleus, which is true for small nuclei. Large
nuclei, however, have sizes greater than the range of the strong nuclear
force. At these sizes, the electromagnetic force begins to affect nuclear
stability. These facts will be used to explain nuclear fusion and fission
later in this text.

CHAPTER 5 | FURTHER APPLICATIONS OF NEWTON'S LAWS: FRICTION, DRAG, AND ELASTICITY 161
5
FURTHER APPLICATIONS OF NEWTON'S LAWS:
FRICTION, DRAG, AND ELASTICITY
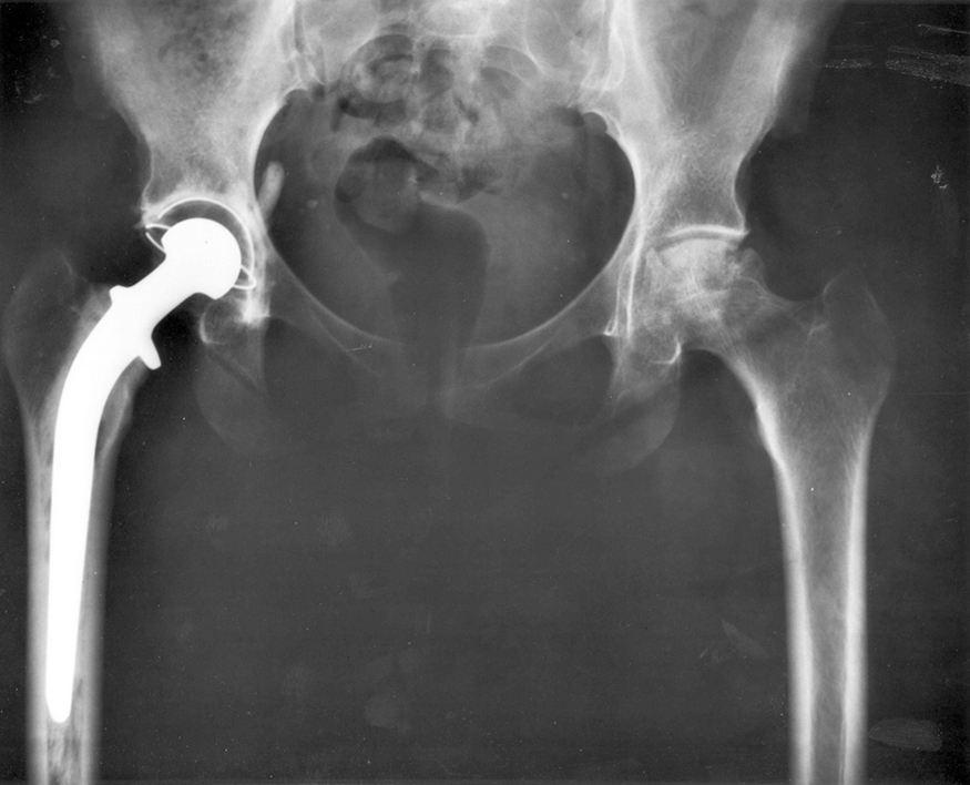
Figure 5.1 Total hip replacement surgery has become a common procedure. The head (or ball) of the patient’s femur fits into a cup that has a hard plastic-like inner lining.
(credit: National Institutes of Health, via Wikimedia Commons)
Learning Objectives
• Discuss the general characteristics of friction.
• Describe the various types of friction.
• Calculate the magnitude of static and kinetic friction.
• Express mathematically the drag force.
• Discuss the applications of drag force.
• Define terminal velocity.
• Determine the terminal velocity given mass.
5.3. Elasticity: Stress and Strain
• State Hooke’s law.
• Explain Hooke’s law using graphical representation between deformation and applied force.
• Discuss the three types of deformations such as changes in length, sideways shear and changes in volume.
• Describe with examples the young’s modulus, shear modulus and bulk modulus.
• Determine the change in length given mass, length and radius.

162 CHAPTER 5 | FURTHER APPLICATIONS OF NEWTON'S LAWS: FRICTION, DRAG, AND ELASTICITY
Introduction: Further Applications of Newton’s Laws
Describe the forces on the hip joint. What means are taken to ensure that this will be a good movable joint? From the photograph (for an adult) in
Figure 5.1, estimate the dimensions of the artificial device.
It is difficult to categorize forces into various types (aside from the four basic forces discussed in previous chapter). We know that a net force affects
the motion, position, and shape of an object. It is useful at this point to look at some particularly interesting and common forces that will provide
further applications of Newton’s laws of motion. We have in mind the forces of friction, air or liquid drag, and deformation.
5.1 Friction
Friction is a force that is around us all the time that opposes relative motion between systems in contact but also allows us to move (which you have
discovered if you have ever tried to walk on ice). While a common force, the behavior of friction is actually very complicated and is still not completely
understood. We have to rely heavily on observations for whatever understandings we can gain. However, we can still deal with its more elementary
general characteristics and understand the circumstances in which it behaves.
Friction
Friction is a force that opposes relative motion between systems in contact.
One of the simpler characteristics of friction is that it is parallel to the contact surface between systems and always in a direction that opposes motion
or attempted motion of the systems relative to each other. If two systems are in contact and moving relative to one another, then the friction between
them is called kinetic friction. For example, friction slows a hockey puck sliding on ice. But when objects are stationary, static friction can act
between them; the static friction is usually greater than the kinetic friction between the objects.
Kinetic Friction
If two systems are in contact and moving relative to one another, then the friction between them is called kinetic friction.
Imagine, for example, trying to slide a heavy crate across a concrete floor—you may push harder and harder on the crate and not move it at all. This
means that the static friction responds to what you do—it increases to be equal to and in the opposite direction of your push. But if you finally push
hard enough, the crate seems to slip suddenly and starts to move. Once in motion it is easier to keep it in motion than it was to get it started,
indicating that the kinetic friction force is less than the static friction force. If you add mass to the crate, say by placing a box on top of it, you need to
push even harder to get it started and also to keep it moving. Furthermore, if you oiled the concrete you would find it to be easier to get the crate
started and keep it going (as you might expect).
Figure 5.2 is a crude pictorial representation of how friction occurs at the interface between two objects. Close-up inspection of these surfaces shows them to be rough. So when you push to get an object moving (in this case, a crate), you must raise the object until it can skip along with just the tips
of the surface hitting, break off the points, or do both. A considerable force can be resisted by friction with no apparent motion. The harder the
surfaces are pushed together (such as if another box is placed on the crate), the more force is needed to move them. Part of the friction is due to
adhesive forces between the surface molecules of the two objects, which explain the dependence of friction on the nature of the substances.
Adhesion varies with substances in contact and is a complicated aspect of surface physics. Once an object is moving, there are fewer points of
contact (fewer molecules adhering), so less force is required to keep the object moving. At small but nonzero speeds, friction is nearly independent of
speed.
Figure 5.2 Frictional forces, such as f , always oppose motion or attempted motion between objects in contact. Friction arises in part because of the roughness of the
surfaces in contact, as seen in the expanded view. In order for the object to move, it must rise to where the peaks can skip along the bottom surface. Thus a force is required
just to set the object in motion. Some of the peaks will be broken off, also requiring a force to maintain motion. Much of the friction is actually due to attractive forces between
molecules making up the two objects, so that even perfectly smooth surfaces are not friction-free. Such adhesive forces also depend on the substances the surfaces are made
of, explaining, for example, why rubber-soled shoes slip less than those with leather soles.
The magnitude of the frictional force has two forms: one for static situations (static friction), the other for when there is motion (kinetic friction).
When there is no motion between the objects, the magnitude of static friction fs is
f
(5.1)
s ≤ µ s N,
where µ s is the coefficient of static friction and N is the magnitude of the normal force (the force perpendicular to the surface).
Magnitude of Static Friction
Magnitude of static friction f s is
CHAPTER 5 | FURTHER APPLICATIONS OF NEWTON'S LAWS: FRICTION, DRAG, AND ELASTICITY 163
f
(5.2)
s ≤ µ s N,
where µ s is the coefficient of static friction and N is the magnitude of the normal force.
The symbol ≤ means less than or equal to, implying that static friction can have a minimum and a maximum value of µ s N . Static friction is a
responsive force that increases to be equal and opposite to whatever force is exerted, up to its maximum limit. Once the applied force exceeds
f s(max) , the object will move. Thus
f
(5.3)
s(max) = µ s N.
Once an object is moving, the magnitude of kinetic friction fk is given by
f
(5.4)
k = µ k N,
where µ k is the coefficient of kinetic friction. A system in which f k = µ k N is described as a system in which friction behaves simply.
Magnitude of Kinetic Friction
The magnitude of kinetic friction f k is given by
f
(5.5)
k = µ k N,
where µ k is the coefficient of kinetic friction.
As seen in Table 5.1, the coefficients of kinetic friction are less than their static counterparts. That values of µ in Table 5.1 are stated to only one or, at most, two digits is an indication of the approximate description of friction given by the above two equations.
Table 5.1 Coefficients of Static and Kinetic Friction
System
Static friction µs
Kinetic friction µk
Rubber on dry concrete
1.0
0.7
Rubber on wet concrete
0.7
0.5
Wood on wood
0.5
0.3
Waxed wood on wet snow
0.14
0.1
Metal on wood
0.5
0.3
Steel on steel (dry)
0.6
0.3
Steel on steel (oiled)
0.05
0.03
Teflon on steel
0.04
0.04
Bone lubricated by synovial fluid
0.016
0.015
Shoes on wood
0.9
0.7
Shoes on ice
0.1
0.05
Ice on ice
0.1
0.03
Steel on ice
0.4
0.02
The equations given earlier include the dependence of friction on materials and the normal force. The direction of friction is always opposite that of
motion, parallel to the surface between objects, and perpendicular to the normal force. For example, if the crate you try to push (with a force parallel
to the floor) has a mass of 100 kg, then the normal force would be equal to its weight, W = mg = (100 kg)(9.80 m/s2) = 980 N , perpendicular to
the floor. If the coefficient of static friction is 0.45, you would have to exert a force parallel to the floor greater than
f s(max) = µ s N = (0.45)(980 N) = 440 N to move the crate. Once there is motion, friction is less and the coefficient of kinetic friction might be
0.30, so that a force of only 290 N ( f k = µ k N = (0.30)(980 N) = 290 N ) would keep it moving at a constant speed. If the floor is lubricated, both
coefficients are considerably less than they would be without lubrication. Coefficient of friction is a unit less quantity with a magnitude usually between
0 and 1.0. The coefficient of the friction depends on the two surfaces that are in contact.
Take-Home Experiment
Find a small plastic object (such as a food container) and slide it on a kitchen table by giving it a gentle tap. Now spray water on the table,
simulating a light shower of rain. What happens now when you give the object the same-sized tap? Now add a few drops of (vegetable or olive)
oil on the surface of the water and give the same tap. What happens now? This latter situation is particularly important for drivers to note,
especially after a light rain shower. Why?


164 CHAPTER 5 | FURTHER APPLICATIONS OF NEWTON'S LAWS: FRICTION, DRAG, AND ELASTICITY
Many people have experienced the slipperiness of walking on ice. However, many parts of the body, especially the joints, have much smaller
coefficients of friction—often three or four times less than ice. A joint is formed by the ends of two bones, which are connected by thick tissues. The
knee joint is formed by the lower leg bone (the tibia) and the thighbone (the femur). The hip is a ball (at the end of the femur) and socket (part of the
pelvis) joint. The ends of the bones in the joint are covered by cartilage, which provides a smooth, almost glassy surface. The joints also produce a
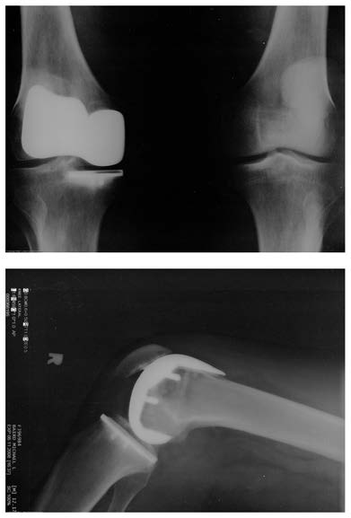
fluid (synovial fluid) that reduces friction and wear. A damaged or arthritic joint can be replaced by an artificial joint (Figure 5.3). These replacements can be made of metals (stainless steel or titanium) or plastic (polyethylene), also with very small coefficients of friction.
Figure 5.3 Artificial knee replacement is a procedure that has been performed for more than 20 years. In this figure, we see the post-op x rays of the right knee joint
replacement. (credit: Mike Baird, Flickr)
Other natural lubricants include saliva produced in our mouths to aid in the swallowing process, and the slippery mucus found between organs in the
body, allowing them to move freely past each other during heartbeats, during breathing, and when a person moves. Artificial lubricants are also
common in hospitals and doctor’s clinics. For example, when ultrasonic imaging is carried out, a gel is used to lubricate the surface between the
transducer and the skin—thereby reducing the coefficient of friction between the two surfaces. This allows the transducer to mover freely over the
skin.
Example 5.1 Skiing Exercise
A skier with a mass of 62 kg is sliding down a snowy slope. Find the coefficient of kinetic friction for the skier if friction is known to be 45.0 N.
Strategy
The magnitude of kinetic friction was given in to be 45.0 N. Kinetic friction is related to the normal force N as f k = µ k N ; thus, the coefficient
of kinetic friction can be found if we can find the normal force of the skier on a slope. The normal force is always perpendicular to the surface,
Describe what you're looking for in as much detail as you'd like.
Our AI reads your request and finds the best matching books for you.
Popular searches:
Join 2.9 million readers and get unlimited free ebooks